ABERDEEN. En 38 år gammal kvinna klev in på ett sjukhus i skotska Aberdeen och klagade över viktnedgång, skakningar och en viss slöhet. Hon berättade också att hon under ett par veckor lidit av "mild inkontinens", skriver Daily Mail.
Läkarna som undersökte henne blev sedan ganska chockade när de insåg att hon hade ett föremål som fastnat mellan vaginan och urinblåsan, skriver Daily Mail och hänvisar till The Journal of Sexual Medicine.
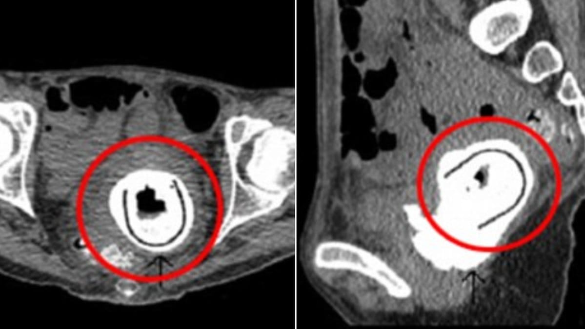
Elva centimeter lång
När läkarna sen opererade bort den visade det sig vara en elva centimeter lång sexleksak – som kvinnan tillsammas med sin partner hade använt hela tio år tidigare. Kvinnan berättade också, enligt Daily Mail, att hon hade varit berusad under användningen och att hon inte kommer ihåg huruvida hon tog ut den eller inte.
Inte, visade sig alltså vara svaret.
Enligt Daily Mail skriver The Journal of Sexual Medicine att det hela skulle ha kunnat leda till allvarliga skador, men att läkarna lyckades i sin behandling och att kvinnan kunde lämna sjukhuset.
