1. En ål i analen – en klassiskt dålig porrfilm
Den kinesiske mannen skulle imitera en porrfilm – vilket ledde till att en ål simmade upp i hans anal. Det hela slutade med ett sjukhusbesök, en operation och – sorgligt nog – ålens död.

2. Fick spjut genom huvudet – inga problem
En 16-årig pojke åkte ut för att fiska men efter en olycka med ett harpungevär slutade det med att han hade ett en meter långt spjut genom huvudet. Sjukt nog tillfrisknade han kvickt.

3. Sexleksak i magen – i tio år
Kvinnan och hennes partner experimenterade med en sexleksak. Tio år senare hittade läkare den i hennes mage .

4. Inte rätt sätt att använda ätpinnar – alls
En 14 månader gammal pojke lekte med ätpinnar – och lyckades få upp en i näsan så pass långt att den fastnade i hans hjärna. Mirakulöst nog klarade han sig helt oskadd!
.jpg)
5. Skulle klättra över staket – spetsades
Den 12-årige pojken skulle klättra över ett staket för att hämta en boll – i stället spetsades han på det spjutliknande smidesjärnet. Spetsen missade han hjärta med bara fem centimeter men lyckligtvis klarade sig killen undan allvarligare skador.

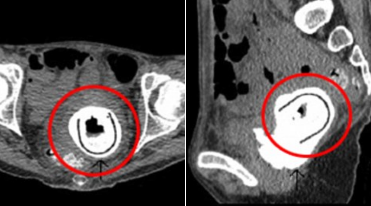
6. Riktig action – upp i baken
Det dyker tydligen upp många konstiga saker i rumpor. Frågan är dock om inte en actiondocka är bland det underligare?

7. En harpun – ingen munsbit
En 28-årig kvinna träffades av en harpun som avfyrades av misstag när hennes man skulle rengöra sitt gevär. Hade den träffat en centimeter åt sidan hade hon dött på platsen – nu kunde hon återhämta sig fullt ut.

